La revista Nature Medicine ha publicado el caso de una mujer con cáncer de mama metastásico cuyo sistema inmunitario fue modificado para eliminar por completo sus células tumorales. Con este trabajo se abren nuevos y esperanzadores tratamientos para los últimos estadios del cáncer; etapa en la que las terapias convencionales normalmente fracasan.
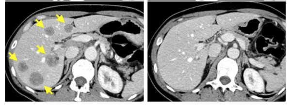
La mujer de 49 años tenía cáncer metastásico HER2 negativo y tras el fracaso de la quimioterapia se inscribió a un ensayo clínico exclusivamente diseñado para mediar la regresión del tumor en pacientes con cánceres epiteliales que desarrollaron metástasis. Al modificar el sistema inmunitario de la paciente para eliminar las células cancerígenas aplicando la inmunoterapia con células T (un tipo de glóbulo blanco), que dieron como resultado el éxito y por tanto la cura durante dos años.

Según los tipos de tumor la extracción de las células T que se toman de la masa tumoral, que reconocen el cáncer, se cultivan y posteriormente se vuelven a introducir al paciente. Lo cierto es que en otro cánceres no habían sido eficaces.
Para el investigador principal Steven A. Rosenberg, considera que probablemente sean necesarios tratamientos personalizados si se quiere avanzar en este tipo de abordaje. La consideración de las terapias individualizadas, es decir, un medicamento único para cada paciente, puede que sea la forma de tratar el cáncer.
Al aislar y reactivar las células T de esta paciente cuyo cáncer estaba progresando, se eliminaron las lesiones metastásicas y la mujer pudo estar dos años sin tratamiento. La detención del crecimiento y la diseminación del cáncer atacando proteínas o genes específicos será la nueva forma de tener éxito en pacientes con cáncer de mama que hayan tenido tratamientos ineficaces antes.



